Fix those gaps in between your teeth at Dental at Joondalup
Why choose us?


Experienced Clinicians

Technology
Quality

Gentle Dentistry
Payment Plans available
Why do I have gaps in my teeth?
There are several reasons people have gaps between their teeth:
Some people do not get all their permanent adult teeth.
If your jaw has too much space, your teeth may not be wide enough to fill all the gaps and your teeth will spread out and cause gaps to occur.
A large labial frenum can cause gaps in your teeth as well. This is usually a small amount of tissue that usually connects your upper lip to your gums and a grows between your two central front teeth.
Dental habits lead to gaps in people’s teeth e.g. using a pacifier or sucking thumbs beyond the age of 6 years of age.
Tongue thrusting - if your tongue presses against your teeth when you swallow this can lead to gaps in the front teeth overtime.
Gaps in your teeth can be caused by gum disease. When gum disease is present with a heavy bite or people are grinding too much; this may lead to splayed out front teeth which can lead to gaps.
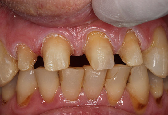
Before and after of how we can fix your gaps and spaces between your teeth
How do I fix the gaps in my teeth?
Dental Crowns
Dental crowns are a durable way of correcting severely worn or chipped teeth.
LEARN MORE
Dental Implants
Single Tooth Implants are most common solution for replacing a lost tooth. They are anchored to the jaws and act as a foundation for a dental crown, bridge or denture.
LEARN MORE
Dental Bridges
If you are missing teeth, a dental bridge may be able to replace one of more missing teeth in as little as two weeks without surgery.
LEARN MORE
Porcelain veneers
Porcelain veneers are thin yet durable tooth coloured shells that are bonded to the front of your teeth.
LEARN MORE
Why should I get the gaps in my teeth fixed up?
Gaps can occur for many reasons in teeth. The most obvious reason to get gaps between teeth fixed is because it can lead to oral health concerns which is especially the case when the gap is caused by missing or damaged teeth.
If a gap is not corrected, teeth can drift, and this can lead to future problems.
Having gaps in your teeth will also lead to an increase in bacteria and plaque on teeth because it’s much harder to clean these gaps.
Cosmetic imperfections of the gap can also lead to self-esteem issues in people. No one should have to feel afraid to show off their smile because of the gaps in their teeth.



.